Vnetje slepiča je lahko zelo nevarno. Slepič je tanka cevka, ki je povezana z debelim črevesom. Nahaja se v spodnjem desnem delu vašega trebuha (trebuha). Ko ste majhen otrok, je slepič delujoč del vašega imunskega sistema, ki telesu pomaga pri boju proti bolezni. Ko ste starejši, vaš slepič preneha s tem in drugi deli vašega telesa še naprej pomagajo v boju proti okužbi. Slepič se lahko okuži. Če se ne zdravi, lahko poči. To se lahko zgodi takoj po 48 do 72 urah po pojavu simptomov. Zaradi tega je apendicitis nujna medicinska pomoč. Če imate simptome, takoj obiščite zdravnika, da preprečite nadaljnjo okužbo, ki je lahko smrtno nevarna.
Kaj povzroča vnetje slepiča?
Vnetje slepiča se pojavi, ko je notranjost slepiča blokirana. Vnetje slepiča lahko povzročijo različne okužbe, kot so virusi, bakterije ali paraziti v vašem prebavnem traktu. Lahko pa se zgodi, ko je cev, ki povezuje debelo črevo in slepič, zamašena ali ujeta v blato. Včasih lahko tumorji povzročijo vnetje slepiča.
Slepič nato postane boleč in otekel. Dotok krvi v slepič se ustavi, ko se oteklina in bolečina poslabšata. Brez zadostnega pretoka krvi slepič začne odmirati. Slepič lahko poči ali se v njegovih stenah razvijejo luknje ali razpoke, zaradi česar lahko blato, sluz in okužba uhajajo skozi in pridejo v trebuh. Posledica je lahko peritonitis, resna okužba.
Kdo je v nevarnosti za vnetje slepiča?
Vnetje slepiča prizadene 1 od 1000 ljudi, ki živijo v ZDA. Večina primerov vnetja slepiča se zgodi pri ljudeh, starih od 10 do 30 let. Družinska anamneza slepiča lahko poveča tveganje, še posebej, če ste moški. Zdi se, da tudi cistična fibroza pri otroku poveča tveganje za vnetje slepiča.

Kakšni so simptomi vnetja slepiča?
Spodaj so pogosti simptomi vnetja slepiča. Vaši simptomi se lahko razlikujejo.
Bolečina v trebuhu je najpogostejši simptom. Ta bolečina:
Lahko se začne v predelu okrog popka in se premakne na spodnjo desno stran trebuha. Lahko se začne tudi na spodnji desni strani trebuha.
S časom se pogosto poslabša.
Počutje se lahko poslabša, ko se premikate, globoko dihate, se vas dotaknete ter kašljate ali kihate.
Lahko se čuti po celem trebuhu, če vam poči slepič.
Drugi pogosti simptomi vključujejo:
Vznemirjen želodec in bruhanje
Izguba apetita
Vročina in mrzlica
Težave z odvajanjem blata (zaprtje)
Redko blato (driska)
Težave pri odvajanju plinov
Otekel trebuh
Ne jemljite zdravil proti bolečinam. Lahko prikrijejo druge simptome, o katerih mora vedeti vaš zdravstveni delavec.
Simptomi apendicitisa so lahko podobni drugim zdravstvenim težavam. Vedno obiščite svojega ponudnika zdravstvenih storitev, da se prepričate.
Kako se diagnosticira vnetje slepiča?
Vaš zdravstveni delavec vas bo vprašal o vašem preteklem zdravstvenem stanju in opravil fizični pregled. Morda vam bo naročil tudi naslednje teste:
Krvni testi: za preverjanje znakov okužbe, kot je visoko število belih krvnih celic.
Urinske preiskave: Da bi ugotovili, ali imate okužbo sečil.
Morda boste imeli tudi nekaj slikovnih testov, vključno z:
Ultrazvok trebuha: omogoča zdravniku, da vidi notranje organe, kako delujejo, in preveri, kako kri teče skozi različne krvne žile.
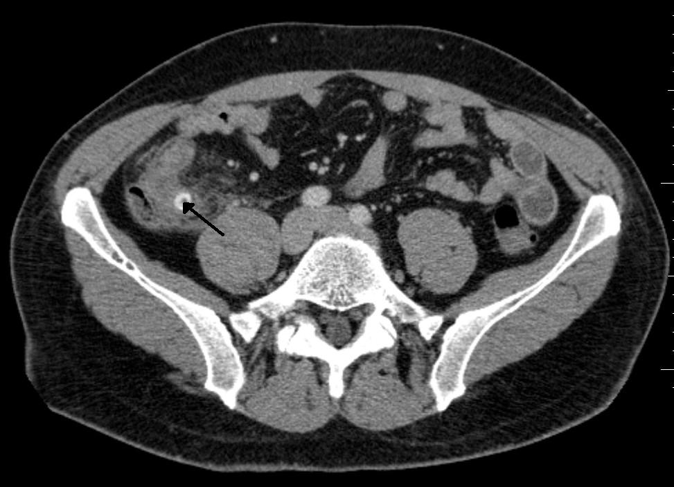
CT skeniranje: prikaže podrobne slike katerega koli dela telesa, kot so kosti, mišice, maščoba in organi.
MRI: včasih se uporablja za diagnosticiranje vnetja slepiča, zlasti pri nosečnicah, namesto CT.

Kako se zdravi vnetje slepiča?
Vnetje slepiča je nujna medicinska pomoč. Verjetno bo slepič počil in povzročil resno, smrtonosno okužbo. Zaradi tega vam bo zdravnik v skoraj vseh situacijah svetoval operacijo odstranitve slepiča.
Slepič se lahko odstrani z odprtim posegom ali z laparoskopijo:
Odprta (tradicionalna) kirurška metoda. Dobili ste anestezijo. Naredi se rez (rez) na spodnji desni strani trebuha. Kirurg najde slepič in ga odstrani. Če je slepič počil, se lahko namesti majhna cevka (šant) za odtekanje gnoja in drugih tekočin v trebuhu. Šant bodo odstranili čez nekaj dni, ko bo vaš kirurg menil, da je okužba izginila.
Laparoskopska metoda. Dobili ste anestezijo. Pri tej operaciji se uporablja več majhnih rezov (rezov) in kamera (laparoskop), s katerimi lahko pogledate v notranjost vašega trebuha. Kirurško orodje se namesti skozi nekaj majhnih rezov. Laparoskop se namesti skozi drug rez. Laparoskopijo je pogosto mogoče opraviti, tudi če je slepič počil.
Če vam slepič ni počil, bo okrevanje po odstranitvi slepiča trajalo le nekaj dni. Če vam je slepič počil, bo vaše okrevanje daljše in potrebovali boste antibiotik.
Lahko živite normalno življenje brez slepiča. Spremembe prehrane ali vadbe običajno niso potrebne.

Zapleti vnetega slepiča
Glavna težava pri vnetju slepiča je nevarnost poka slepiča. To se lahko zgodi, če slepiča ne odstranite hitro. Razpočen slepič lahko povzroči okužbo v trebuhu, imenovano peritonitis. Peritonitis je lahko zelo resen in povzroči celo smrt, če ga ne zdravimo takoj.
Če se ne zdravi, lahko oboleli slepič poči. Počen slepič lahko povzroči okužbo, ki lahko privede do resne bolezni in celo smrti. Zapleti vključujejo:
Absces: Lahko se razvije apendikularni absces ali žepek infekcioznega gnoja. Vaš zdravstveni delavec vam bo v trebuh namestil drenažne cevke. Te cevi odstranijo tekočino iz abscesa pred operacijo. Postopek drenaže lahko traja teden ali dlje. V tem času jemljete antibiotike za boj proti okužbi. Ko absces izgine, boste imeli operacijo odstranitve slepiča.
Okužba trebuha: peritonitis je lahko smrtno nevaren, če se okužba razširi po celotnem trebuhu. Abdominalna operacija (laparotomija) odstrani počen slepič in zdravi okužbo.
Sepsa: Bakterije iz počenega slepiča lahko pridejo v vaš krvni obtok. Če se to zgodi, lahko povzroči resno stanje, imenovano sepsa. Sepsa povzroči razširjeno vnetje v mnogih vaših organih. Lahko je usodno. Zahteva bolnišnično zdravljenje z močnimi antibiotiki.
Kakšna je napoved (obeti) za ljudi z vnetjem slepiča?
Ker slepič nima znanega namena, po operaciji odstranitve ne bi smeli opaziti nobene razlike. Nekateri ljudje, ki imajo laparoskopsko operacijo, gredo domov še isti dan ali v 24 urah. Večina ljudi se vrne v običajno aktivno življenje v dveh do treh tednih.
Potrebovali boste več časa v bolnišnici (morda celo en teden), da si opomorete po odprti operaciji. Če vam je slepič počil, boste morda potrebovali dolgotrajne antibiotike, da popolnoma odpravite okužbo. Vaše okrevanje lahko traja šest tednov ali več.
Če ste bili zdravljeni samo z antibiotiki, pokličite svojega zdravstvenega delavca, če ponovno opazite znake vnetja slepiča. Svojega ponudnika pokličite tudi, če okrevate po operaciji odstranitve slepiča in doživite:
zaprtje.
Vročina.
Okuženo mesto operacije (rez), z znaki rdečine, otekline ali rumenega gnoja.
Močna bolečina v spodnjem desnem delu trebuha.

